





近日,健世科技(9877.HK)全資子公司迪創醫療研發的全新仿生型左心耳封堵器系統SimuLock成功完成首例確證性臨床試驗植入手術,標志著SimuLock正式邁入新階段。

手術亮點回顧
該例患者為男性58歲,陣發性房顫,9個月前突發急性腦梗死,3月前曾行房顫射頻消融術。2023年11月經胸超聲心動圖示左房內徑46mm,經食道超聲心動圖示左心房及左心耳內未見血栓形成,CHA2DS2-VASc評分3分,HAS-BLED評分2分。DSA測得左心耳開口直徑約23mm,錨定區域約18mm。
葛均波院士、周達新教授等經詳細評估和討論后,認為該受試者需要植入固定部20mm、封堵盤28mm的左心耳封堵器,為非常規固配規格,SimuLock的可選配組裝式設計精準滿足患者需求。
手術過程順利,通過植入非常規固配規格的固定部20mm、封堵盤28mm的左心耳封堵器,實現左心耳完全封堵,達到手術預期效果,再次體現產品獨特的設計創新優勢。

器械釋放后造影示封堵器展開良好,封堵完全

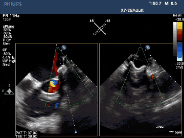
術后TEE影像示封堵完全

術后TEE三維重建影像示封堵器位置佳,封堵完全
左心耳是房顫患者腦卒中血栓的主要形成部位。臨床研究證實,左心耳封堵術是預防房顫血栓栓塞事件的一個有效方案,可降低卒中發生率。左心耳封堵術通過微創導管術封堵左心耳、以達到預防房顫患者血栓栓塞的目標,該技術是當前預防非瓣膜性心房顫動患者因左心耳內血栓脫落導致卒中安全、有效的重要選擇方案。